Para aquellos que no me conocéis me gusta que me llamen Bea y soy ortodoncista. Si tuviera que describirme diría que soy apasionada de mi trabajo y de mi familia. Esos son los dos grandes pilares que mueven mi vida.
Desde que soy pequeña quería ser pediatra. No se me había ocurrido ser dentista hasta mi último año de colegio, cuando empecé a investigar, y me di cuenta que había algo que podría gustarme todavía más… la ortodoncia! Reunía el diagnóstico, el trato con el paciente y el arte. El camino para lograr serlo no era fácil pero lo iba a “pelear”. Y cuando algo quiero… creerme que me entrego al 300% para conseguirlo! Soy trabajadora y cabezota como bien nos describe nuestro logo de elefante. Así que conseguí la nota para entrar en la Universidad Complutense de Madrid, después hice la especialidad de Odontopediatría y, finalmente, logré mi súper sueño de formarme como Ortodoncista en la Fundación Jiménez Díaz de Madrid.
La vida me ha enseñado que los sueños hay que perseguirlos. Y estoy segura que con constancia e ilusión se pueden conseguir. Esta clínica es uno de mis sueños. Creo que las cosas en equipo se hacen mejor y por eso hemos formado este súper equipo. Cada uno aporta sus conocimientos y su toque personal y somos el conjunto de todo ello lo que nos gustaría transmitir. Nos conocimos trabajando y hemos decidido dar un paso más y ofreceros lo mejor de nosotros en una clínica con un toque especial.
Queremos que sintáis que estáis en casa, que el concepto de ir al dentista cambie y que creemos una pequeña familia. Prometemos ser alegres, honestos, entusiastas, innovadores y los mejores profesionales.
Por último me gustaría explicaros nuestro logotipo. Es un guiño a mi animal favorito, a mi hermana Rocío y a mi Camboya del alma, a las que también me gustaría tener presentes en esta clínica.
Con mucho cariño.
Quedo a vuestra disposición para todo.
Bea
P/d: Muchas gracias a todo el equipo por creer en este proyecto; y a mi familia y amigos por haberme apoyado en esta aventura. Pía, Ro y Diego muchas gracias por hacerme sonreír cada día.
- 19 de Octubre de 2019 -
Especialistas en ortodoncia de adultos y ortognática. Tecnología avanzada y tratamientos personalizados.
La ortodoncia es la especialidad de la odontología encargada de diagnosticar, prevenir y corregir problemas en la alineación de los dientes y la mordida.
Su objetivo no es solo mejorar la estética, sino también garantizar una correcta función masticatoria, evitar el desgaste dental prematuro y prevenir problemas en la articulación temporomandibular (ATM).
En Ortodoncia Gutiérrez Mosquera, en Pozuelo de Alarcón, somos especialistas en ortodoncia para todas las edades, ofreciendo soluciones avanzadas y adaptadas a cada paciente.
El tratamiento de ortodoncia varía en función de la edad y la gravedad del problema.
Ortodoncia infantil (Interceptiva) – Desde los 6-8 años
Ortodoncia en adolescentes y adultos – A partir de los 12 años
📌 Recomendación profesional:
En Ortodoncia Gutiérrez Mosquera, recomendamos realizar una primera evaluación a partir de los 2 años para detectar posibles anomalías a tiempo y actuar de forma preventiva.
En nuestra clínica utilizamos las técnicas más avanzadas para ofrecerte una solución cómoda, efectiva y estética.
Alineadores transparentes y removibles. Máxima comodidad, sin alambres ni brackets. Tratamiento discreto, ideal para adultos y adolescentes.
Igual que los brackets metálicos, pero más discretos. Alta resistencia y eficacia en el movimiento dental.
Opción altamente eficaz.
Recomendado para tratamientos más complejos.
Esta ortodoncia modifica el crecimiento de los maxilares y se realiza entre los 6 y los 9 años aproximadamente.
Algunos casos presentan diferencias esqueléticas tan grandes entre el maxilar y la mandíbula que necesitan un tratamiento de ortodoncia + cirugía de los maxilares para lograr una buena mordida.
En estos tratamientos es fundamental el trabajo en equipo entre el ortodoncista y los cirujanos maxilofaciales y en nuestra clínica somos especialistas en ello.
Escaneo digital y radiografías → Estudio detallado para planificar el tratamiento más adecuado.
Diseño del tratamiento según tu caso, con simulaciones 3D en ortodoncia invisible.
Primera sesión para colocar brackets o entregar alineadores Invisalign.
Controles cada 4-6 semanas para ajustes y seguimiento.
Uso de retenedores fijos o removibles para mantener los resultados.
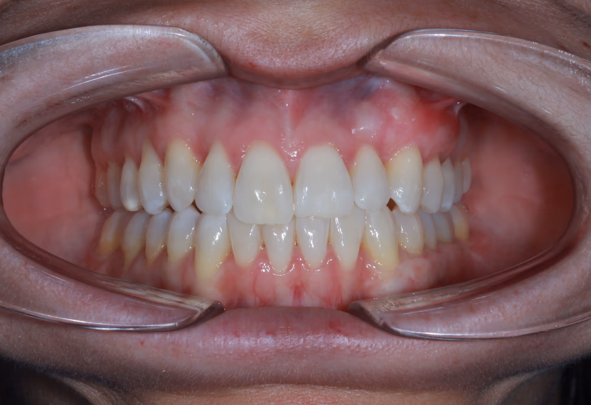
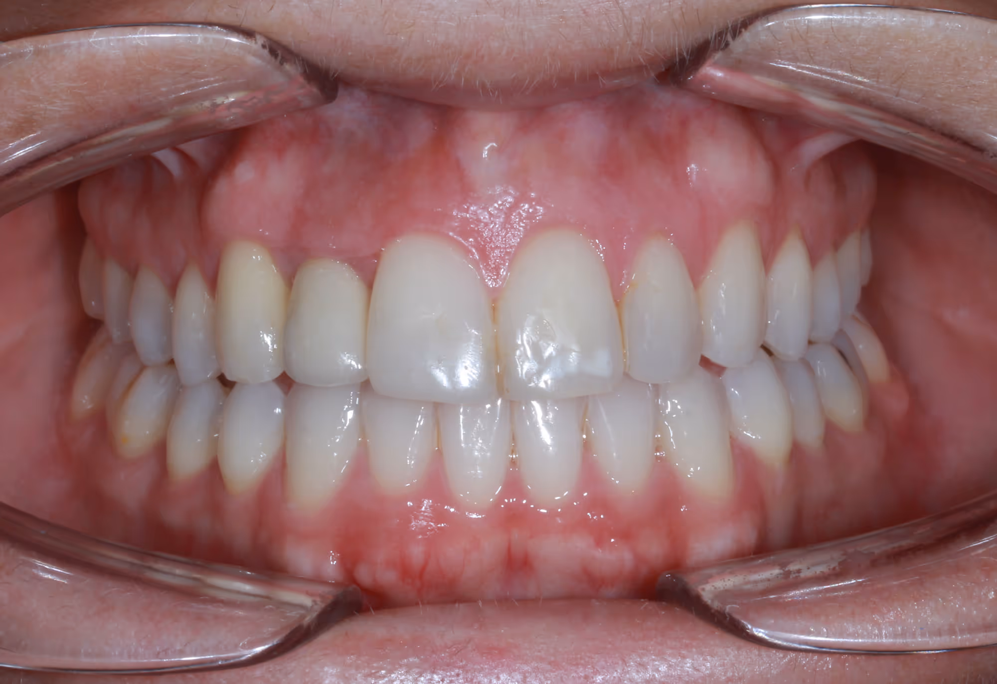
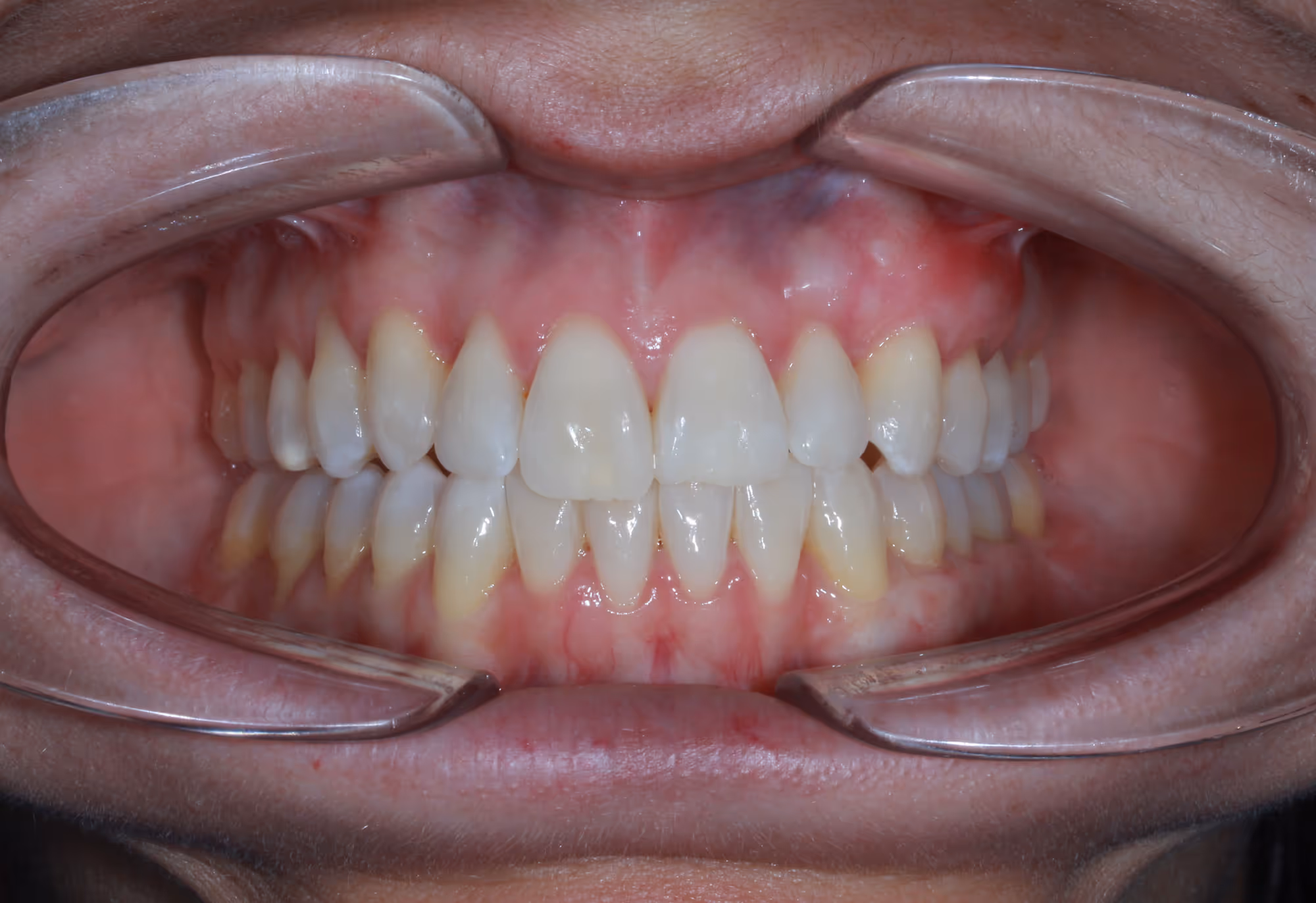
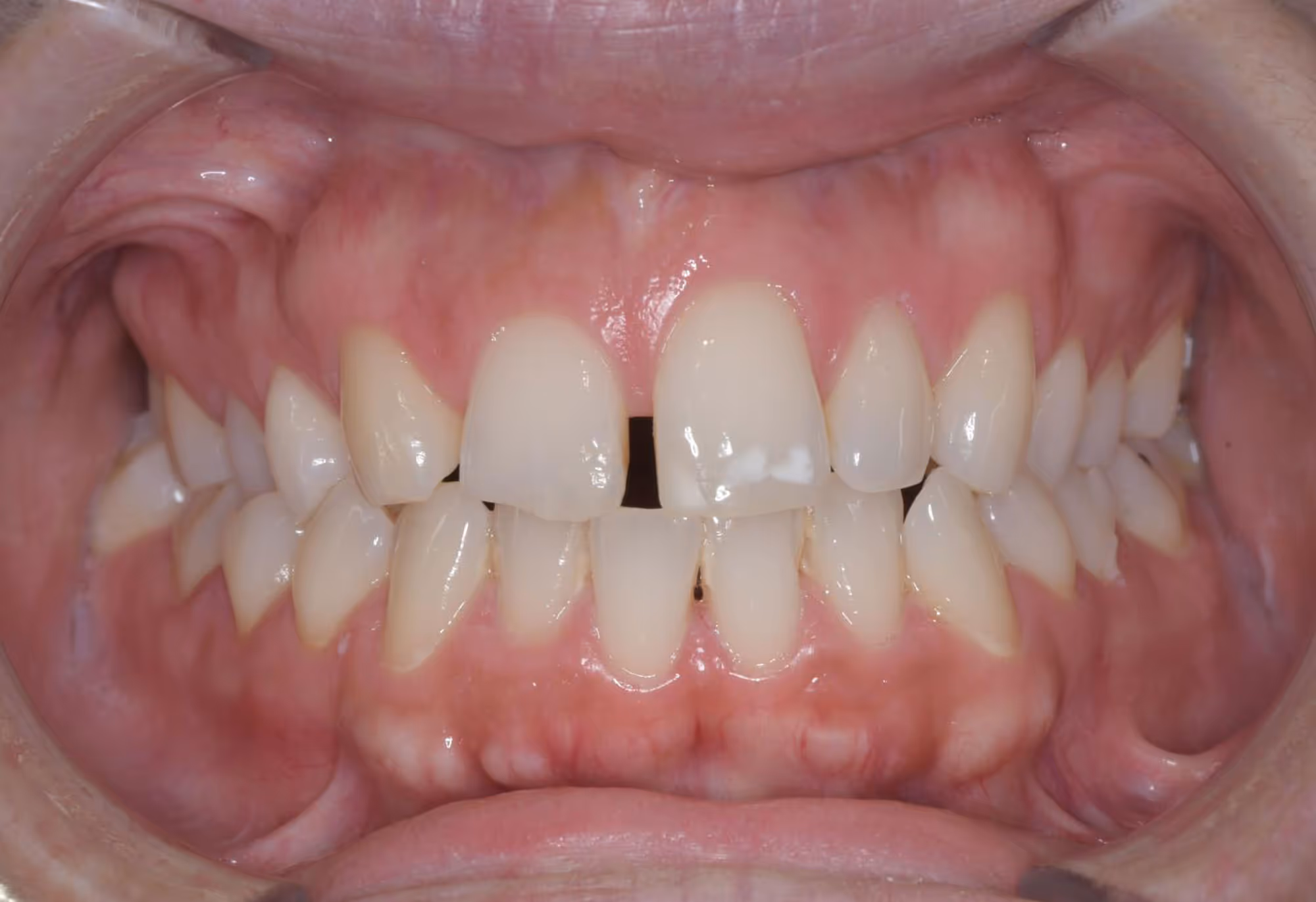
Te invitamos a conocer algunos de nuestros casos clínicos, donde podrás comprobar de primera mano la transformación que podemos lograr gracias a un enfoque multidisciplinar y a la excelencia que aplicamos en cada paciente.
En cada uno de estos casos, la especialización en las diferentes áreas de la odontología, el trabajo en equipo y la atención individualizada han sido claves para conseguir resultados óptimos.


Si tienes más dudas, llámanos o agenda una cita con nuestros especialistas.