Hola!
Soy Beatriz, ortodoncista y directora de la clínica. Podría definirme como apasionada de mi familia y de mi trabajo.
Me licencié en la Universidad Complutense de Madrid como Odontóloga y después realicé las especializaciones de Odontopediatría en la Universidad Europea de Madrid y de Ortodoncia en el Hospital Universitario Fundación Jiménez Díaz de Madrid. Desde que era pequeña soñaba con atender pacientes y poco a poco descubrí que la Ortodoncia reunía todas las características para hacerme feliz. Me formé en España y fuera de España (en UCLA en USA y en la Clínica Alemana en Santiago de Chile) y trabajé en estupendas clínicas durante 10 años pero después sentí que quería hacer algo diferente.
Esta clínica fue mi sueño. Creo que los sueños hay que perseguirlos y siempre he pensado que con constancia e ilusión se pueden conseguir. Creo también que las cosas en equipo se hacen mejor y por eso formé este equipo que sin duda merece llamarse “equipazo”. Cada uno aporta sus conocimientos y su toque personal y somos el conjunto de todo ello lo que me gusta transmitir. Detrás de cada doctor hay una formación especializada en cada área de muchos años y una entrega hacia su trabajo absolutamente maravillosa. Junto con las personas de administración, higienistas o auxilares formamos un puzzle perfecto. Todas son necesarias y fundamentales en este proyecto.
Queremos que sintáis que estáis en casa, que el concepto de ir al dentista cambie y hemos creado una pequeña familia. Somos alegres, honestos, entusiastas e innovadores. Nuestro objetivo es sin duda la excelencia y para ello nos esforzamos en continuar mejorando y aprendiendo cada día.
Por último me gustaría explicaros algo un poco más personal, nuestro logotipo. Es un guiño a mi animal favorito, a mi hermana Rocío y a mi Camboya del alma, a las que también me gustaría tener presentes siempre en esta clínica. Han sido personas y etapas fundamentales en mi crecimiento como persona y como profesional y me gustaría que siempre estén conmigo.
Con mucho cariño.
Quedo a vuestra disposición para todo.
Bea
P/d: Muchas gracias a todo el equipo por ser parte fundamental de este proyecto; y a mi familia y amigos por haberme apoyado siempre en esta aventura. Pía, Ro, Jaime y Diego muchas gracias por hacerme sonreír cada día.

Ortodoncia Gutiérrez Mosquera es un concepto muy personal.
Es un espacio dedicado a la Odontología, a nuestros Pacientes y a todo El Equipo que trabaja por y para vosotros.
Desde la excelencia profesional, queremos que sintáis que estáis en vuestra casa.
La formación especializada del equipo en las diferentes áreas odontológicas nos permite lograr la excelencia en cada tratamiento.
La formación continua de nuestros profesionales nos permite conocer y aplicar las técnicas odontológicas más vanguardistas.
Valoramos las necesidades de cada paciente desde todas las áreas de la odontología y proponemos la solución más conservadora.
Nuestro equipo posee amplia experiencia en el ámbito hospitalario y son docentes en universidades de reconocido prestigio.
La amplia experiencia clínica, la formación y actualización continua, la pasión por la odontología y la capacidad de trabajo en equipo, unidos a la calidad humana de nuestros profesionales, son nuestras características más destacables.

Directora médica · Ortodoncia

Ortodoncia

Cirugía e implantes · Periodoncia

Endodoncia · Estética dental

Odontopediatría

Odontología general y estética

Fisioterapia
Desde nuestra especialización en ortodoncia ofrecemos un tratamiento multidisciplinar completo. La visión global de las necesidades del paciente, el trabajo en equipo y la especialización en las diferentes áreas de la odontología son indispensables para lograr una boca sana. Nuestro valor diferencial es la excelencia que aplicamos de manera individualizada y especializada en cada uno de nuestros pacientes.





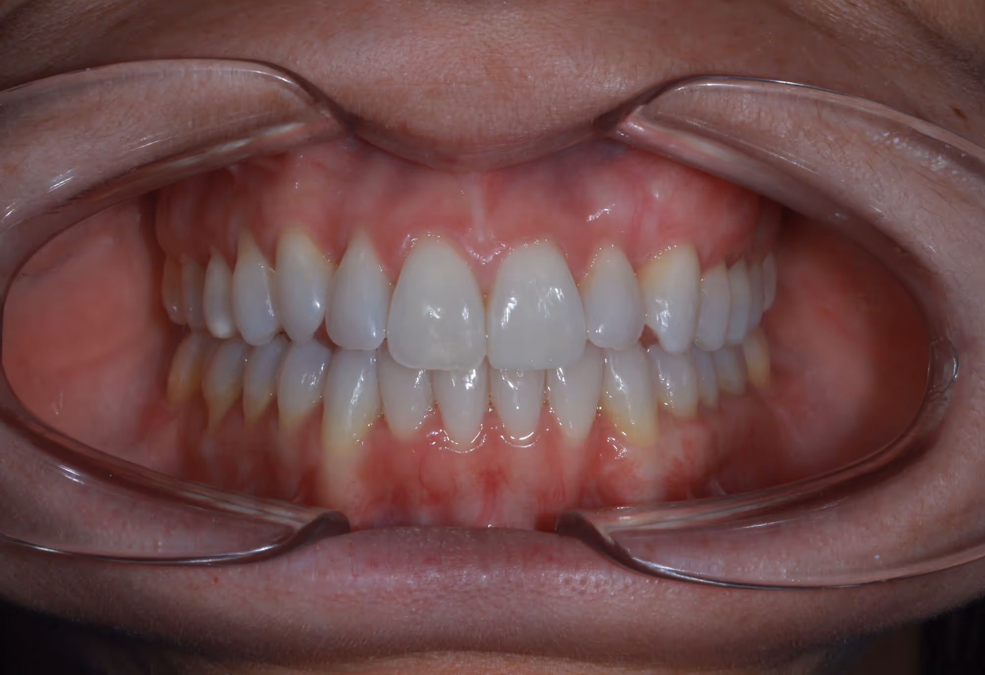
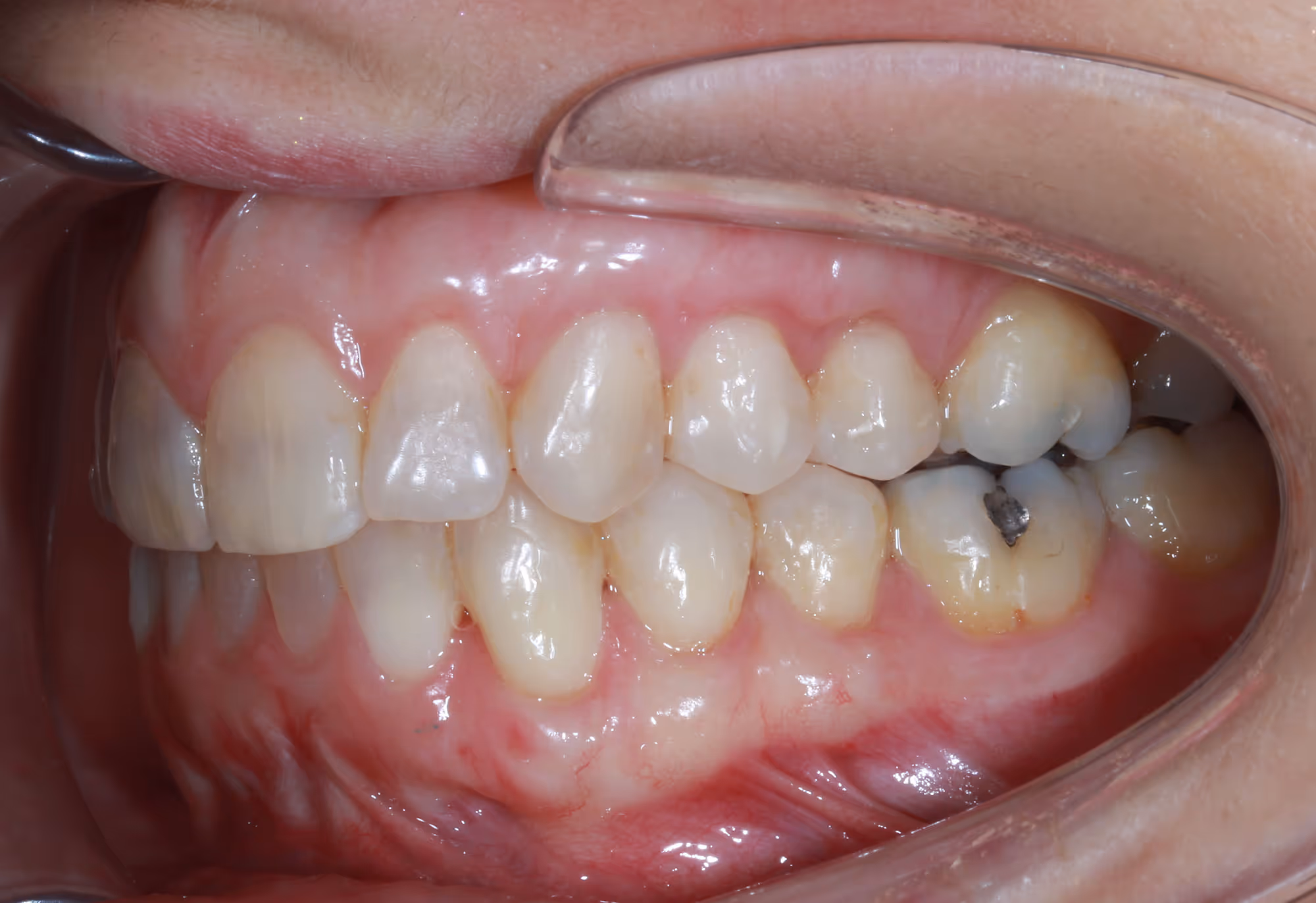
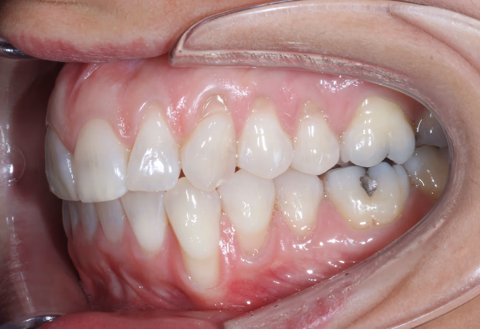
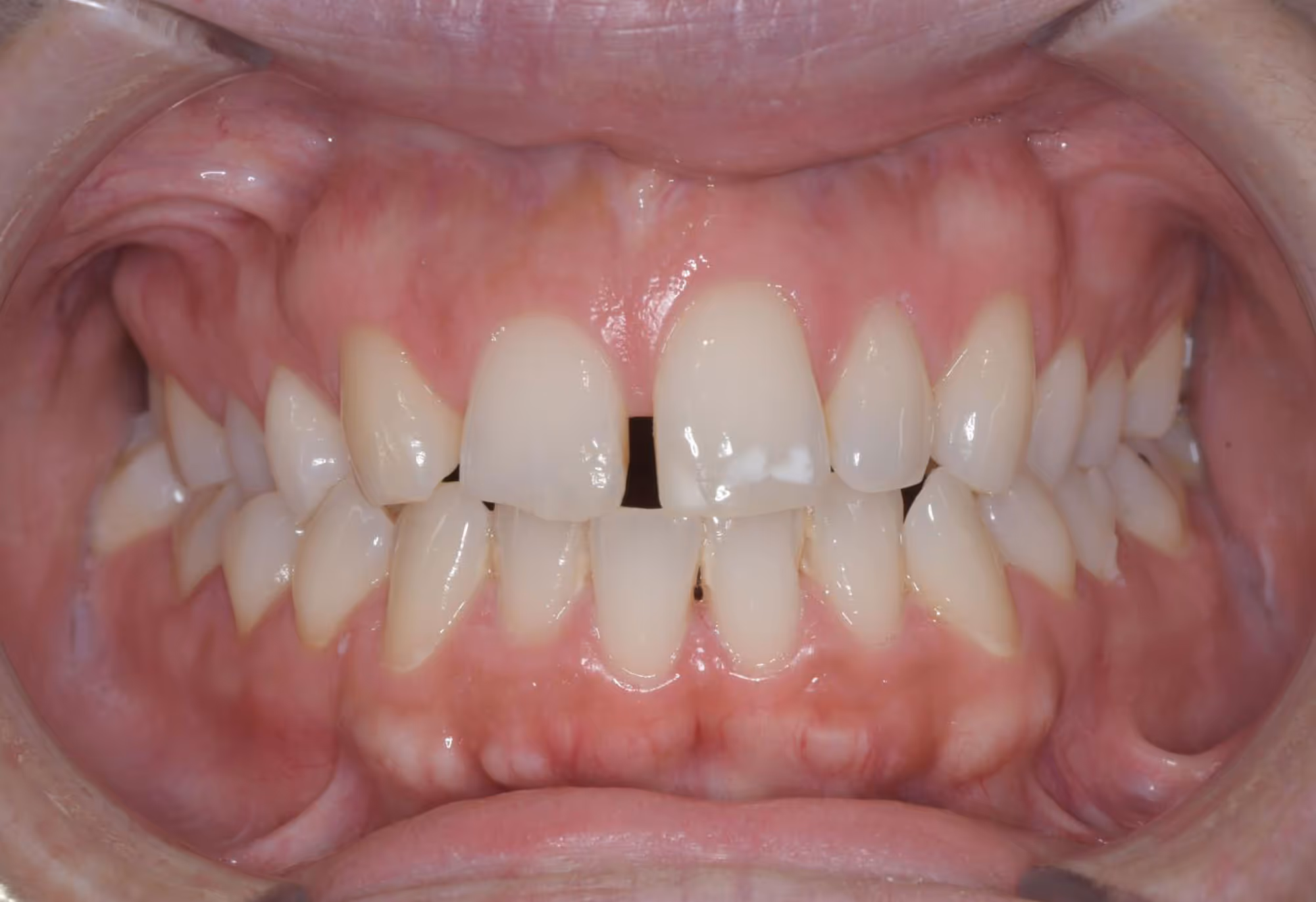
Te invitamos a conocer algunos de nuestros casos clínicos, donde podrás comprobar de primera mano la transformación que podemos lograr gracias a un enfoque multidisciplinar y a la excelencia que aplicamos en cada paciente. En cada uno de estos casos, la especialización en las diferentes áreas de la odontología, el trabajo en equipo y la atención individualizada han sido claves para conseguir resultados óptimos.








Nos esforzamos en asesorar de forma personalizada a cada uno de nuestros pacientes.
Nuestras instalaciones están diseñadas buscando el confort y bienestar de los pacientes. Para ello, hemos creado un ambiente cálido y acogedor en el que hemos integrado la última tecnología odontológica.
De esta manera, la estancia en nuestra clínica se convierte en una agradable experiencia que se aleja del concepto hospitalario y busca que el paciente sienta calidez, confort y cercanía, siempre acompañadas de la máxima profesionalidad.


.avif)
Pide cita y ven a conocernos, del resto nos encargamos nosotros.
agenda tu cita hoy