Con una amplia experiencia hospitalaria y formación especializada internacional, la Dra. Gutiérrez y su equipo son especialistas en este área de la ortodoncia que abarca los casos de mayor complejidad.
PIDE TU CITA
Existen determinados casos en los que la diferencia entre la posición de los maxilares (maxilar superior y mandíbula) es tan grande que un tratamiento de ortodoncia convencional no será suficiente para corregir la mordida.
En estos casos se realizan tratamientos combinados de ortodoncia y cirugía ortognática.


En nuestra clínica contamos con tecnología avanzada y un equipo de profesionales con amplia experiencia hospitalaria especializados en este tipo de tratamientos.
Además, contamos con servicio de fisioterapia que es fundamental como complemento para este tipo de tratamientos.
Evaluación clínica del cirujano maxilofacial y el ortodoncista.
Registros iniciales y estudio detallado del caso.
Planificación conjunta del caso entre la ortodoncista y el cirujano maxilofacial.
Inicio del tratamiento de Ortodoncia (duración aproximada de 1 año)
Realización de la cirugía ortognática
Finalización del tratamiento de ortodoncia (duración aproximada 1 año)
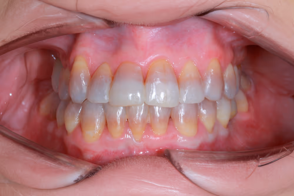
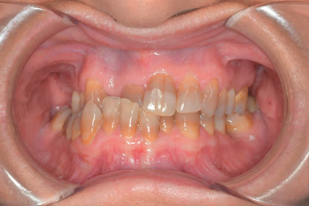
Te invitamos a conocer algunos de nuestros casos clínicos, donde podrás comprobar de primera mano la transformación que podemos lograr gracias a un enfoque multidisciplinar y a la excelencia que aplicamos en cada paciente.
En cada uno de estos casos, la especialización en las diferentes áreas de la odontología, el trabajo en equipo y la atención individualizada han sido claves para conseguir resultados óptimos.








Nos comprometemos a dar respuesta a todas tus preguntas a la mayor brevedad posible.